ZAS Palfijn

Inhoudstabel
Wat is een bestralingsbehandeling?
Tijdens de bestraling wordt een bestralingsbehandeling uitgevoerd waarbij kankercellen worden gedood of beschadigd.
We gaan jou laten zien waarvoor de bestraling is en wat hier allemaal bij komt kijken. Tijdens de bestraling zijn er 2 dingen die moeten gebeuren:
Jou elke dag in dezelfde houding plaatsen
Om ervoor te zorgen dat de bestraling op de juiste plek komt is het van belang dat je altijd in dezelfde houding ligt. Dit doen we door jou goed op de tafel te leggen, en beeldvorming te nemen.
De bestraling uitvoeren
Als alle controles zijn uitgevoerd starten we de bestraling.

Aanmelden op de afdeling
Als je op de afdeling komt mag je je eerst aanmelden met de badge die je hebt gekregen tijdens de simulatie. Dit kan je doen bij de scanner.

Als je je hebt aangemeld, kan je plaatsnemen in de wachtzaal. Hier word je opgehaald door een technoloog. Houd je badge paraat, deze kan gevraagd worden ter controle.

Als je wordt opgehaald door de technoloog, word je meegenomen naar de kleedkamers. De technoloog zal specifieke kleding instructies geven. Er zal gevraagd worden om het gebied dat bestraald wordt te ontbloten.

Ontdek de bestraling
Klik op de cirkels in de afbeelding of scroll verder om meer informatie te krijgen. We raden aan om de volgorde van de nummers aan te houden.
1. Positionering
Je komt op de tafel te liggen in dezelfde houding, en met dezelfde hulpstukken die zijn bepaald bij de simulatie. Als je op de tafel ligt, brengen we de tafel in de juiste positie.

Op de foto heeft de persoon op tafel kleren aan. Ben je ervan bewust dat normaal gesproken het gebied dat bestraald wordt ontbloot is.
2. Oppervlakte scanning

Als de tafel in de juiste positie staat, schijnen wij een blauw/paars licht op jou. Hiermee kunnen wij jouw positie bepalen. Dit licht is niet schadelijk voor jou.

Elke dag vergelijken we een oppervlakte-beeld van jouw lichaamscontour met hoe je op tafel ligt, zodat we je telkens in exact dezelfde positie kunnen plaatsen.

Aan de hand van dit beeld kan het zijn dat we jouw positie een beetje moeten aanpassen. Zo zorgen we ervoor dat je op precies de juiste positie ligt voor jouw bestraling.

Als we tevreden zijn over jouw positie dan verschuiven we de tafel nog een heel klein beetje zodat jij precies in de juiste positie ligt. Het is voor jou nu belangrijk om goed stil te blijven liggen en niet meer te bewegen. Daarna verlaten wij de ruimte en gaan we naar de consoleruimte toe. We gaan dan een scan maken.
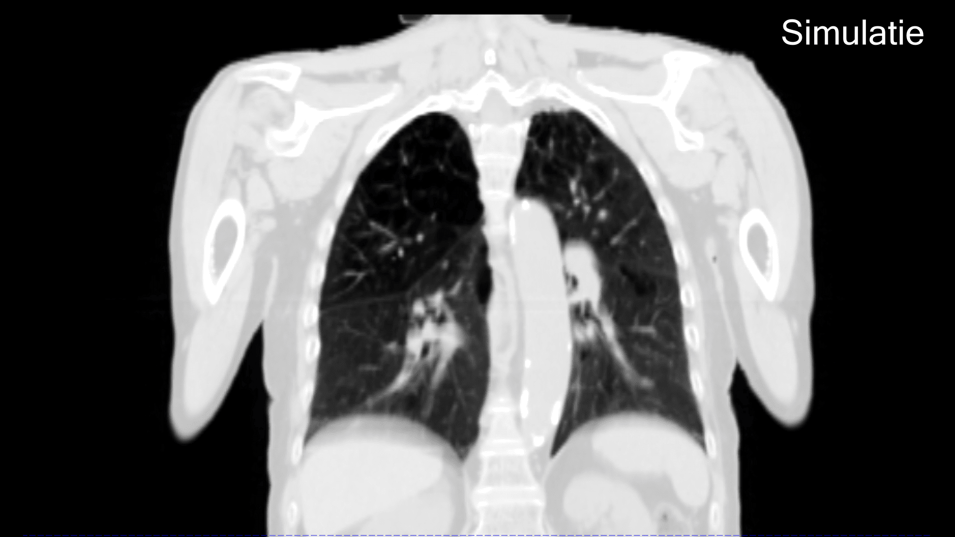
3. Beeldvorming
Voor elke bestraling wordt er een controle scan gemaakt. Hiermee kunnen we heel nauwkeurig de positie van het doelgebied en jouw omliggende organen bepalen.
Dit doen we met de 2 panelen aan de zijkant van het bestralingstoestel. Deze klappen uit en het bestralingstoestel zal een rondje om jou heen draaien.
De scan die we voor elke bestraling maken, vergelijken we met de scan van de simulatie. We leggen de scans over elkaar waarmee we zorgen dat de straling op exact de goede plek komt.
Als de beelden zijn bekeken verschuiven we de tafel nog een klein beetje, dit doen we vanuit buiten. Hiermee zorgen we ervoor dat we dat jij op de millimeter goed ligt.
4. Bestraling
Als we alle controles hebben uitgevoerd en jij op exact de goede positie ligt, beginnen we met de daadwerkelijke bestraling.
Je zal merken dat het toestel om jou heen gaat draaien. Van de bestraling voel je niks, het enige wat je kunt merken is dat het toestel een zoemend geluid maakt.
Geluid Bestraling
Luister naar het geluidsfragment dat tijdens de bestraling is opgenomen. Het is geen aangenaam geluid, maar het is niet zo luid als het geluid van een MRI-scan.
Bekijk hieronder een filmpje om te zien hoe dit eruit ziet.
5. Controle paneel
Soms komt het voor dat er een extra paneel wordt uitgeklapt. Met dit paneel doen we extra controles.

Het paneel vangt de straling op en meet hoeveel straling er precies is gegeven. Met deze meting kunnen we terugrekenen of de bestraling precies volgens plan is gegaan. Zo zorgen we ervoor dat de behandeling zo nauwkeurig en veilig mogelijk verloopt.